Iată ce au descoperit medicii în stomacul unei fete. Era cât un ghemotoc! Chirurgii au operat-o pe fetița de doar 11 ani. Iată informații despre cazul ei ieșit din comun.
Ce au descoperit medicii în stomacul unei fete. Era cât un ghemotoc
Cazul vine din Cehia. Fetiţa în vârstă de 11 ani a fost diagnosticată cu sindromul Rapunzel, o tulburare psihologică rară care o face să îşi smulgă părul de pe cap, să îl mestece și să îl înghită, informează AFP. Sindromul a fost semnalat pentru prima dată în 1968. Sunt puține cazuri documentate până în prezent în întreaga lume, potrivit Agerpres.
Fetița s-a prezentat la medicul de familie după ce, timp de patru săptămâni, a avut dureri abdominale, vărsături zilnice, constipație și pierduse și în greutate. Totodată, ea a avut o perioadă în care a mestecat păturile, nu doar părul. Părinții ei au relatat, de asemenea, faptul că fetița este uneori anxioasă, conform presei internaționale.
Numele sindromului „Rapunzel” vine de la un personaj, o tânără cu părul foarte lung, dintr-un basm al fraţilor Grimm, care a inspirat desenul animat Disney Tangled, din 2010. În general, fete și femei sub 20 de ani sunt diagnosticate cu această afecțiune.
„Boala este legată de ceea ce numim tricotilomanie şi tricofagie, constând în smulgerea şi, respectiv, înghiţirea propriului păr”, a declarat Matus Peteja, chirurg-şef.
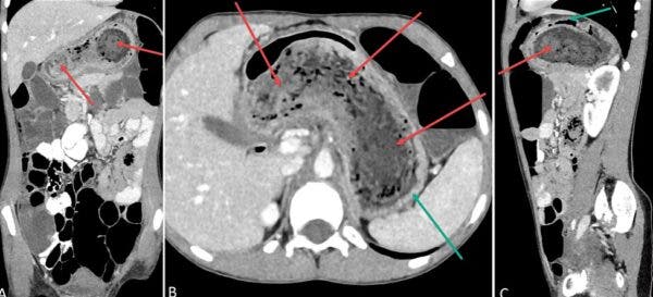
Fata avea nevoie urgent de operație. Medicii i-au găsit în stomac mult păr, astfel că chirurgii unui spital din Cehia i-au îndepărtat un ghemotoc uriaş de mărimea unui pahar de jumătate de litru, prin laparoscopie, a scris Pro TV. Smocul, în formă de cilindru, cu o lungime de 20 de centimetri şi un diametru de 8 centimetri, era mult prea mare pentru a fi îndepărtat pe gură.


„Dacă nu l-am fi scos, pacienta ar fi avut dureri şi ar fi pierdut treptat în greutate. În caz extrem, peretele stomacului ar fi putut fi deteriorat sau chiar perforat”, a declarat Peteja pentru AFP.
Starea de sănătate a fetei este bună, din fericire.





















